I had a great experience at Sierra Smiles. My hygienist Denisse was the best! She was very polite and made me feel comfortable throughout the appointment. She has very light and delicate hand. Definitely one of the best dental cleanings I've ever had! The front desk staff were very welcoming and helpful from the moment I walked in. And Dr. Chris was very professional and informative. Highly recommend this office to everyone.
Such a lovely experience! My husband and I came in together and they were so flexible and accommodating to our schedules. Both Priscilla and Lindsay were so sweet and gentle throughout out cleaning. Dr.Christopher was very down to earth and such a nice guy. They explained our treatment plan thoroughly and answered every question. Highly recommend this office.
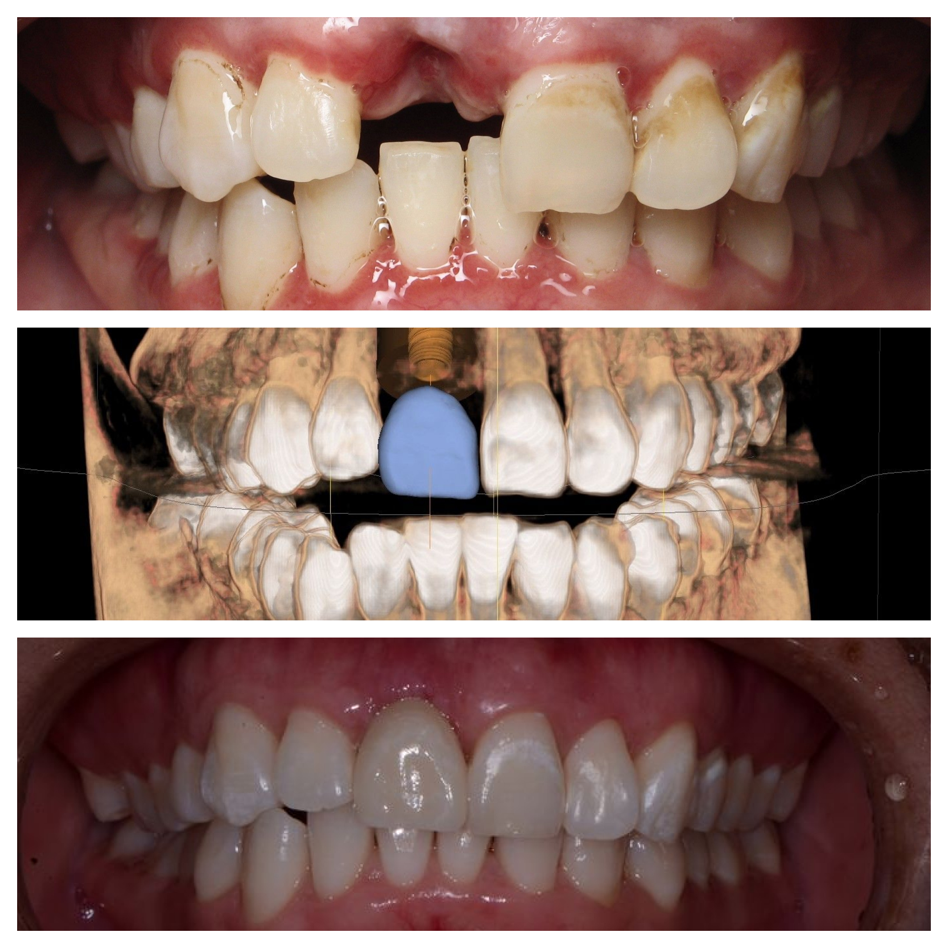
My whole family has been going to
Sierra Dental for years. They are absolutely the best! Everyone ( receptionists , hygienists, and Doctor )offer exceptional service. One of my children has extreme anxiety for dental procedures , and Sierra Dental has been able to service him in a manner he feels calm . I recommend it to everyone looking for a great dental office.
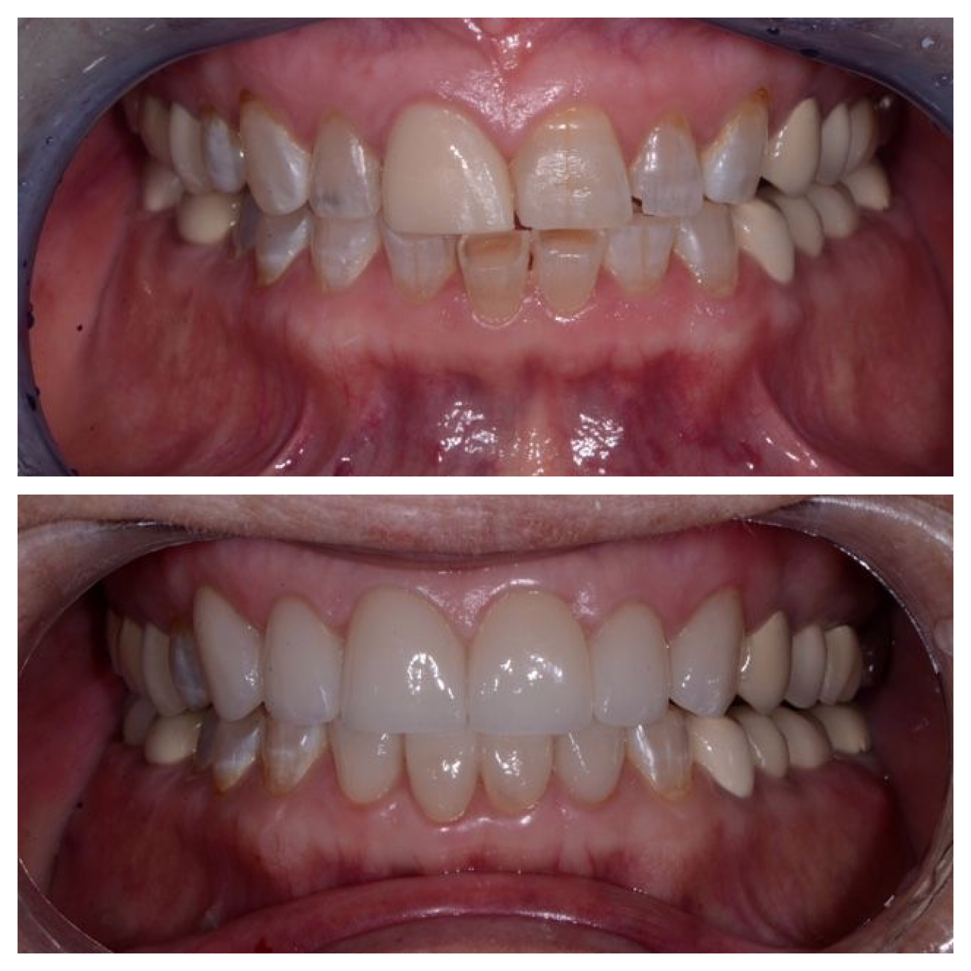
Dr. Sierra and his staff went out of their way to make sure I was comfortable and and fully informed what was happening step by step at my recent visit. I felt like they truly cared about me as a patient, a patient who would rather be a juror in a tax case than doing what we all need to do, go see our dentist regularly.
Mom went after being in pain for a while after getting a procedure done at another clinic. Please note that my parents are seniors and have very sensitive teeth. She said they went above and beyond with their customer service. She loves this place and already made another appointment for next week.