4221 Vista Road, Pasadena, TX 77504

Transform Your Smile in a Single Visit
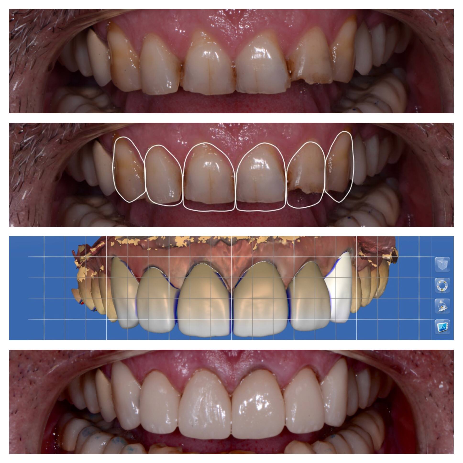
CEREC is an acronym for Chairside Economical Restoration of Esthetic Ceramics. This high-tech equipment can restore damaged teeth with beautiful custom ceramic crowns in a single visit, completely eliminating the need for multiple appointments over a several-week period. The process can create a ceramic dental crown, inlays, onlays or veneers using a variety of technologies like 3D photography and a computer-aided design and manufacturing process known as CAD/CAM.
An intraoral camera is used to photograph the tooth, and the picture is loaded onto the computer. Using Computer Aided Design (CAD) technology, the image is transformed into a three-dimensional model.
This makes it possible to easily calculate appropriate restoration shape and size to create a near-perfect restoration. When the model is ready, a milling machine creates the restoration using a high-speed diamond bur and calculated precision. The restoration is then bonded to the tooth using a resin material. The result is a beautiful restoration made to fit your mouth perfectly. CEREC crowns are metal-free and have been used for more than 20 years.